Movember! Dvadesetu godinu zaredom muškarci puštaju brkove u studenom kako bi osvijestili javnost na važnost prevencije od raka prostate. Preventivni pregledi omogućavaju rano otkrivanje eventualne bolesti što uvelike povećava šansu potpunog izlječenja. Pojavom simptoma rak je već uznapredovao i upravo zato se stavlja naglasak na prevenciju dok nema nikakvih simptoma.


Najčešća zloćudna bolest u muškaraca
Ono što je rak dojke u žena, to je rak prostate u muškaraca – najčešća zloćudna bolest. Međutim, ukoliko se na vrijeme otkrije, rak prostate izlječiv je u 98% slučajeva. Upravo zato se cijeli studeni obilježava kao Movember – mjesec borbe protiv raka prostate.
Pregled urologa
Ako u obitelji nema oboljelih od raka prostate, nakon 40. godine života, muškarcima se preporučuje specijalistički pregled urologa preventivno jednom godišnje. U slučajevima čestih upala mjehura ili upala prostate urološki pregled se treba obavljati češće. U Poliklinici Medikol u Zagrebu i Čakovcu možete obaviti preventivni specijalistički pregled urologa.
Određivanje PSA u krvi
PSA (prostata specifični antigen) je protein koji se nalazi u stanicama prostate. Može ga se otkriti u krvi svih odraslih muškaraca. PSA se koristi kao tumorski marker u probiru i ranom otkrivanju karcinoma prostate. Vrijednosti PSA povećane su kod muškaraca s karcinomom prostate, no mogu biti povećane i kod nekih drugih bolesti prostate kao što su: benigna hiperplazija, prostatitis, akutna retencija urina ili nakon digitorektalnog pregleda.
MOVEMBER akcija u Poliklinici Medikol
U sklopu medicinsko-biokemijskog laboratorija Poliklinike Medikol do kraja studenog 2023. godine možete izvaditi tumorski marker PSA uz popust.
Umjesto 23,00€, sada po cijeni od 16€.
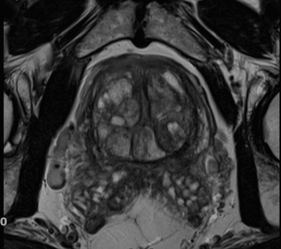
Magnetska rezonancija prostate
Trenutačno najsuvremenija dijagnostička metoda za rak prostate je magnetska rezonancija na MR uređaju jakosti 3Tesle. MR prostate na MR 3Tesle možete obaviti u Poliklinici Medikol u Zagrebu i Splitu. Pretraga je za pacijenta potpuno bezbolna i bez ioniziranog zračenja.
Bolje spriječiti, nego liječiti!
Javite se u Polikliniku Medikol i obavite preventivne preglede. Potaknite i druge oko sebe da učine isto.
Preventivni pregledi u borbi protiv raka prostate mogu biti od životne važnosti muškaraca. Za više informacija ili rezervaciju termina nazovite info broj telefona 072 12 12 12 ili se javite online mailom na [email protected].
