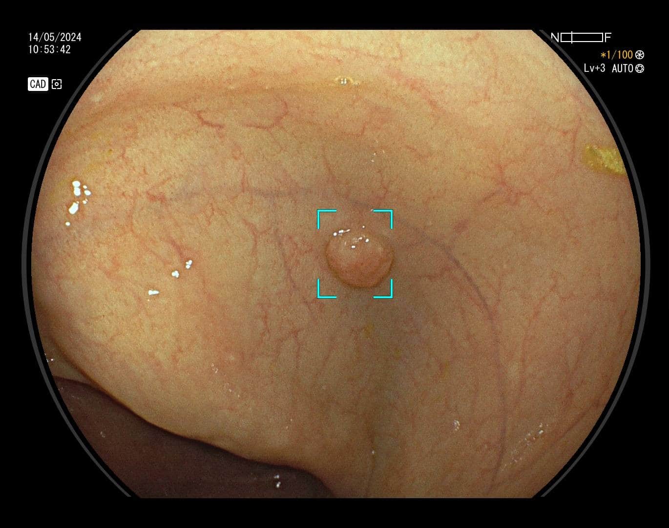
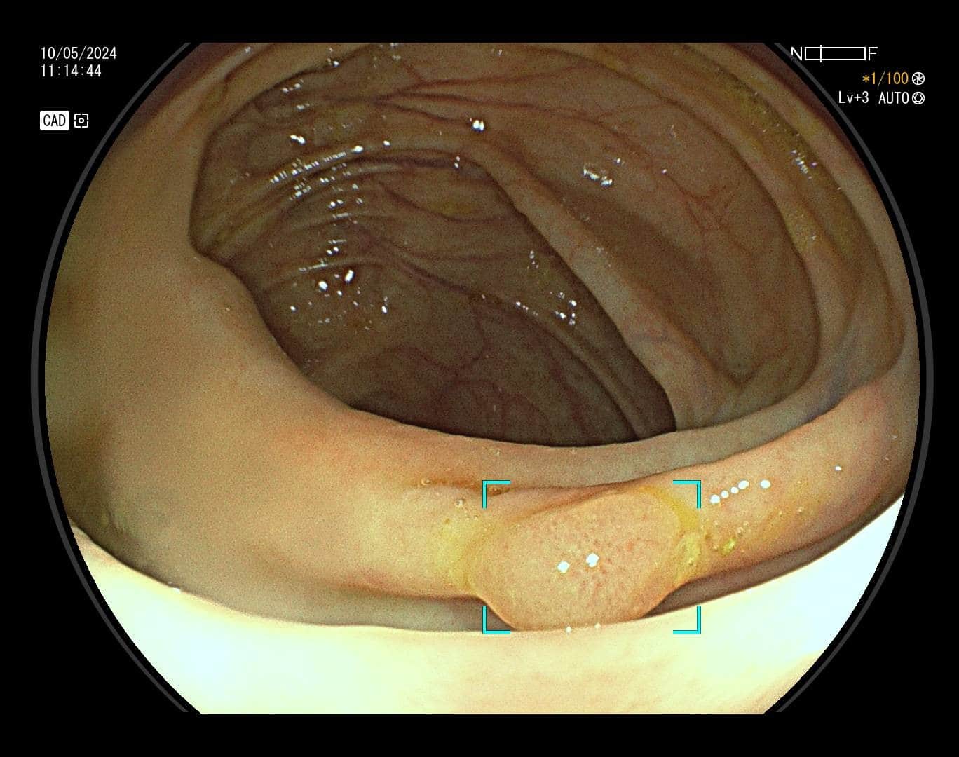
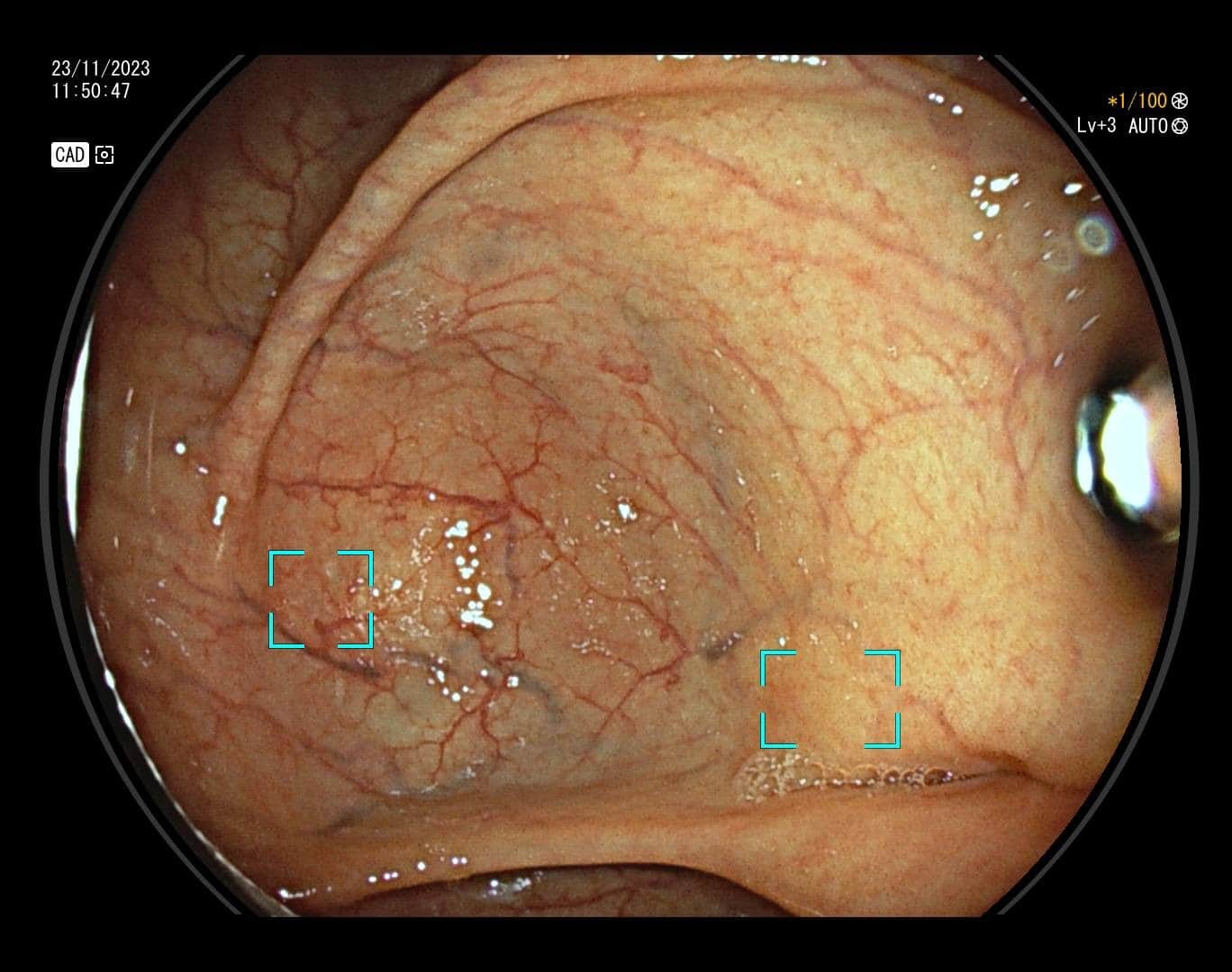
Karcinom debelog crijeva, prema podacima Hrvatskog registra za rak, drugi je po učestalosti uzrok maligne bolesti u žena, a treći u muškaraca. Ova vrsta raka razvija se iz polipa, malih izraslina na sluznici debelog crijeva koje nastaju pod utjecajem okolišnih i/ili genetskih čimbenika. S vremenom polip raste, stanice nakupljaju mutacije, te u konačnici dolazi do razvoja karcinoma. Na sreću, nemaju svi polipi zloćudni potencijal. Kod polipa visokog rizika proces do maligne transformacije je najčešće dugotrajan što nam daje priliku za preventivnim djelovanjem – preventivnu kolonoskopiju preporučuje se učiniti s navršenih 50 godina života, a u slučaju obiteljske sklonosti i u ranijoj životnoj dobi. Cilj pretrage nije dijagnosticirati karcinom već pravovremeno detektirati i ukloniti njegov predstadij – polip.
Pregled debelog crijeva
Kako bi pregled debelog crijeva bio temeljit potrebna je dobra priprema crijeva (očišćenost), no mali i plitki polipi, unatoč optimalnim uvjetima pretrage mogu ostati nezamijećeni, a zbog anatomije crijeva i skriveni iza nabora.








